Демо запись

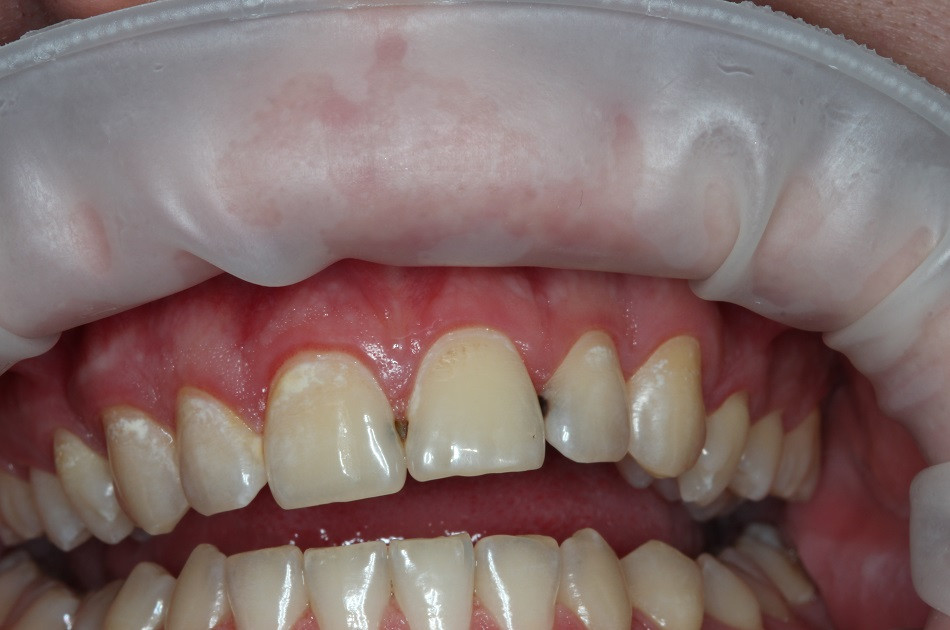
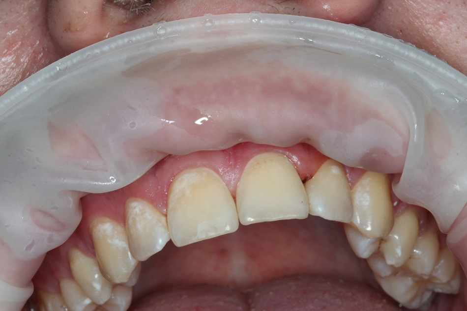
Описание для демо-записи, где вы можете описать клинический случай и как решали проблему.

Проводили лечение
Создаю идеальное здоровье!
Записаться на прием
Врач-терапевт
Стаж - 9 лет
Моисеева Анна Валерьевна 0
Моисеева Анна Валерьевна
Моисеева Анна Валерьевна 1
Моисеева Анна Валерьевна
Моисеева Анна Валерьевна 2
Моисеева Анна Валерьевна
Моисеева Анна Валерьевна 3
Моисеева Анна Валерьевна
Моисеева Анна Валерьевна 4
Моисеева Анна Валерьевна
Записаться онлайн
Записаться на телефону
+7 (842) 242-56-06 перезвоним в течение 10 минут

Вступайте и пишите в группу

Наш сайт использует cookie. Продолжая им пользоваться вы соглашаетесь со всеми правилами проекта.